← Torna all’archivio demo
Teen 14 anni

Edoardo

Breve introduzione al caso clinico.

Caso clinico Edoardo
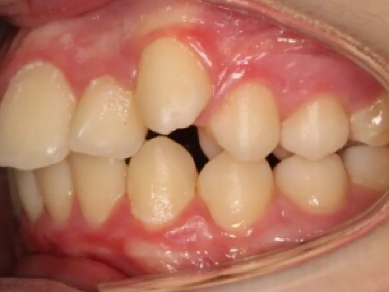
Diagnosi Canini alti - Affollamento
Trattamento Apparecchio fisso gemellare Minisprint - Estrazione di 4 premolari
Durata 24 mesi
Panoramica del caso

Edoardo

Dettagli e panoramica del caso, illustrazione di complicanze/soluzioni, specifiche sul percorso. Dettagli e panoramica del caso, illustrazione di complicanze/soluzioni, specifiche sul percorso.

Dettagli e panoramica del caso, illustrazione di complicanze/soluzioni, specifiche sul percorso. Dettagli e panoramica del caso, illustrazione di complicanze/soluzioni, specifiche sul percorso.

Confronto clinico

Prima e dopo del trattamento

Le immagini aiutano a raccontare il percorso clinico in modo chiaro, ordinato e professionale, valorizzando il risultato raggiunto e rendendo più immediata la lettura del caso.

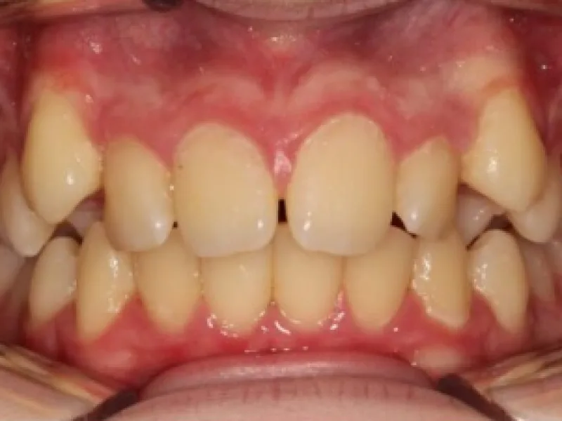
Prima
Prima - Edoardo
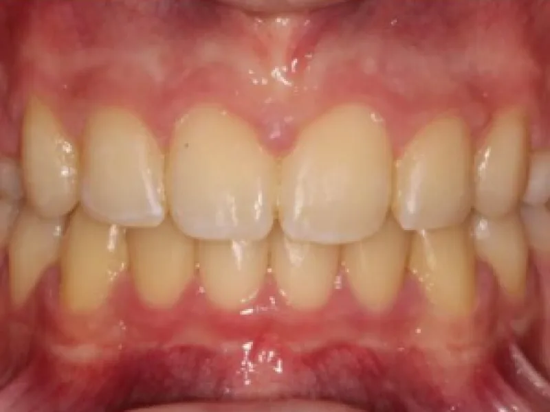
Dopo
Dopo - Edoardo
Documentazione completa

Documentazione completa del caso

Una panoramica più estesa del trattamento, utile per mostrare il confronto clinico in modo ordinato e immediato.

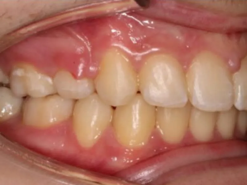
Prima del trattamento
Prima 1 - Edoardo
Prima 2 - Edoardo
Prima 3 - Edoardo
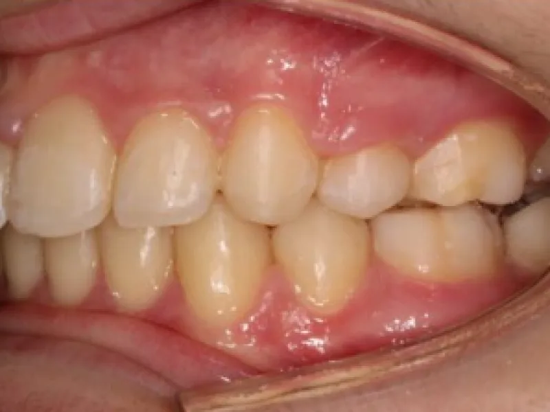
Dopo il trattamento
Dopo 1 - Edoardo
Dopo 2 - Edoardo
Dopo 3 - Edoardo

Perché questo sistema può essere utile per il tuo studio

Questo esempio mostra come sia possibile gestire in autonomia i contenuti del sito, mantenendo sempre un risultato ordinato e professionale. Ogni nuovo caso clinico può essere inserito in pochi minuti, con immagini e testi guidati, senza dover intervenire sul design o richiedere modifiche tecniche.


In questo modo lo studio può aggiornare con continuità i propri casi, comunicare meglio il proprio lavoro ai pazienti e valorizzare i risultati clinici, mantenendo sempre una presentazione coerente, chiara e allineata all’immagine dello studio.

<