← Torna all’archivio demo
Adulti 25 anni

Beatrice

Breve introduzione al caso clinico.

Caso clinico Beatrice
Diagnosi Morso aperto - Denti sporgenti
Trattamento Allineatori Trasparenti Invisalign
Durata 12 mesi
Panoramica del caso

Beatrice

Dettagli e panoramica del caso, illustrazione di complicanze/soluzioni, specifiche sul percorso. Dettagli e panoramica del caso, illustrazione di complicanze/soluzioni, specifiche sul percorso.

Dettagli e panoramica del caso, illustrazione di complicanze/soluzioni, specifiche sul percorso. Dettagli e panoramica del caso, illustrazione di complicanze/soluzioni, specifiche sul percorso.

Confronto clinico

Prima e dopo del trattamento

Le immagini aiutano a raccontare il percorso clinico in modo chiaro, ordinato e professionale, valorizzando il risultato raggiunto e rendendo più immediata la lettura del caso.

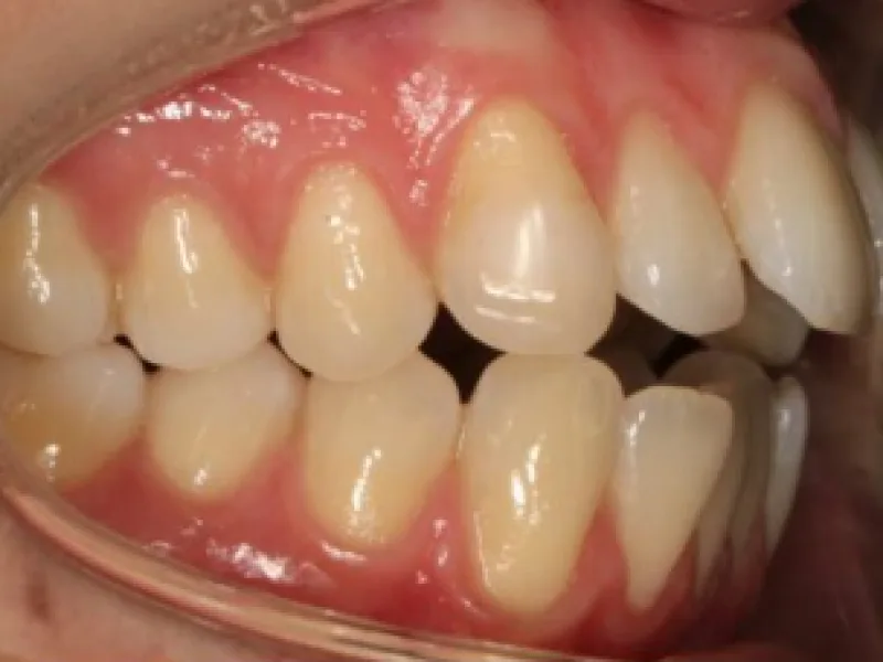
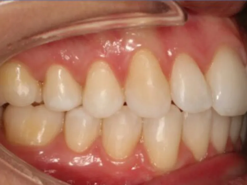
Prima
Prima - Beatrice
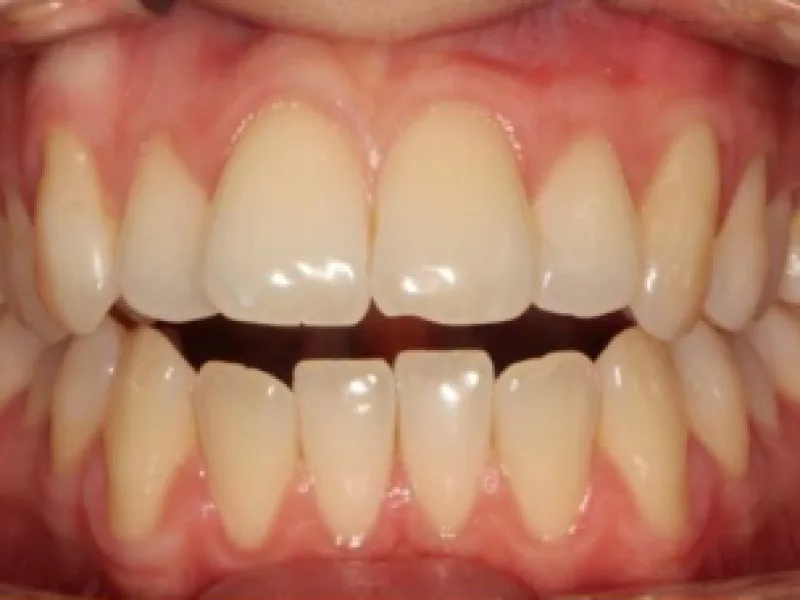
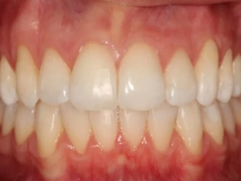
Dopo
Dopo - Beatrice
Documentazione completa

Documentazione completa del caso

Una panoramica più estesa del trattamento, utile per mostrare il confronto clinico in modo ordinato e immediato.

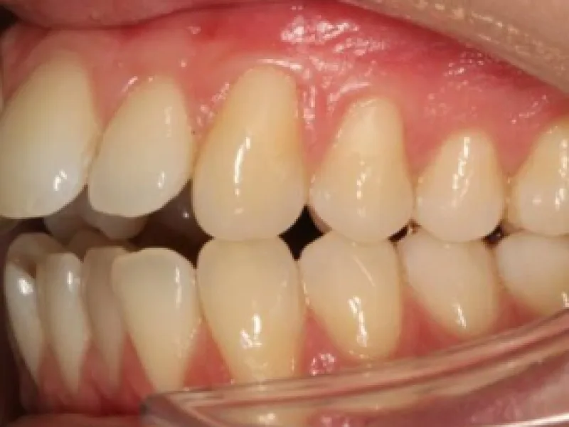
Prima del trattamento
Prima 1 - Beatrice
Prima 2 - Beatrice
Prima 3 - Beatrice
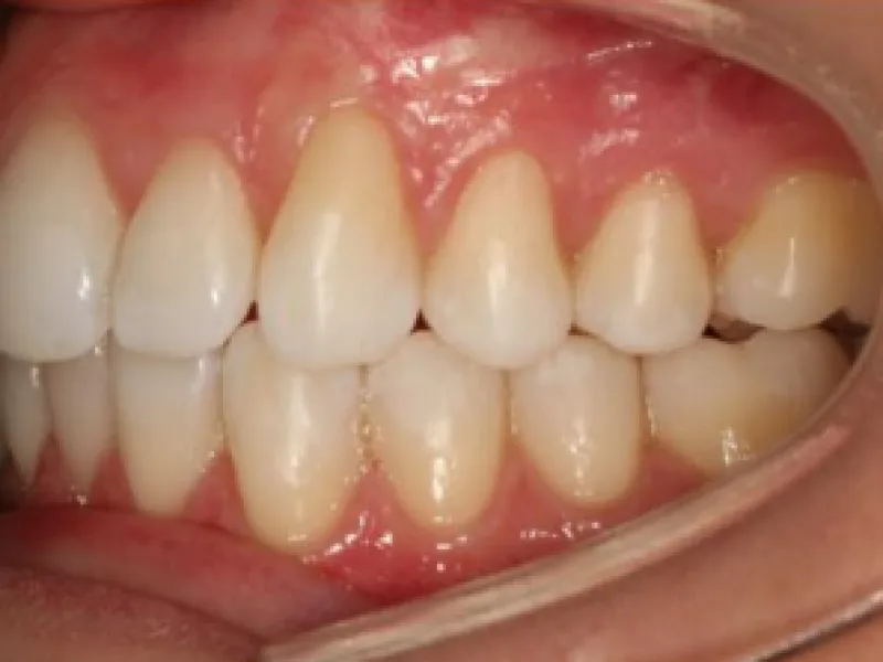
Dopo il trattamento
Dopo 1 - Beatrice
Dopo 2 - Beatrice
Dopo 3 - Beatrice

Perché questo sistema può essere utile per il tuo studio

Questo esempio mostra come sia possibile gestire in autonomia i contenuti del sito, mantenendo sempre un risultato ordinato e professionale. Ogni nuovo caso clinico può essere inserito in pochi minuti, con immagini e testi guidati, senza dover intervenire sul design o richiedere modifiche tecniche.


In questo modo lo studio può aggiornare con continuità i propri casi, comunicare meglio il proprio lavoro ai pazienti e valorizzare i risultati clinici, mantenendo sempre una presentazione coerente, chiara e allineata all’immagine dello studio.

<